Skip Menu
Continue
  • 9011 Chevrolet Drive,
  • #9,
  • Ellicott City, MD 21042
  • Home
  • About Us
    • About Us
    • Our Doctor
    • Our Team
    • Our Work
    • Testimonials
  • New Patients
  • Services
      • Botox®
      • Ceramic Crowns
      • Dental Bridges
      • Dental Cleanings
      • Dental Fillings
      • Dentures
      • Digital Impressions
      • Digital Radiography
      • Emergency Treatment
      • Extractions
      • Implant Dentistry
      • Night Guards
      • Oral Cancer Screening
      • Oral Exams
      • Pediatric Dentistry
      • Periodontal Treatment
      • Root Canals
      • Sports Mouthguards
      • Teeth Whitening
      • Veneers
    • View All
  • Dental Health
  • Contact
  • Appointment
  • Pay Online
  • Forms
    • New Patient Form
    • Authorization for Release of Health Information
    • Notice of Privacy Practices

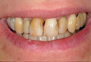
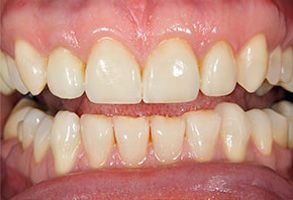
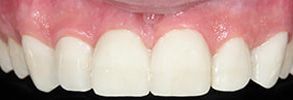
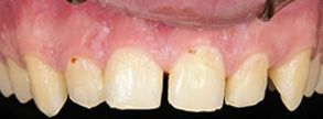
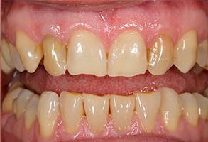
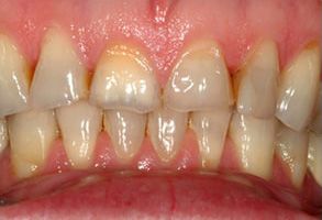
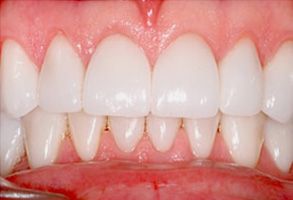
Smile Gallery

Additional Information

Our Location

9011 Chevrolet Drive
#9
Ellicott City, MD 21042
(410) 750-7051

Follow Us